矯正の介入時期について③
こんにちは。院長の宮城です。
今回は前回に引き続き、矯正の治療介入時期についてです。
今回の治療時期は混合歯列期(後期)です。
この時期は、年齢で言うとおおよそ10歳〜12歳ぐらいまでとなります。
歯の状態言うと、6歳臼歯(第一大臼歯)の前に乳歯(E、前から数えて5番目の歯)が残った状態になります。
この時期に改善していた方が良い点(重要視する点)は
①E-Spaceの確保
②上顎大臼歯の遠心移動
③下顎前方誘導
④連続抜歯
⑤悪習癖
上記の5つとなります。
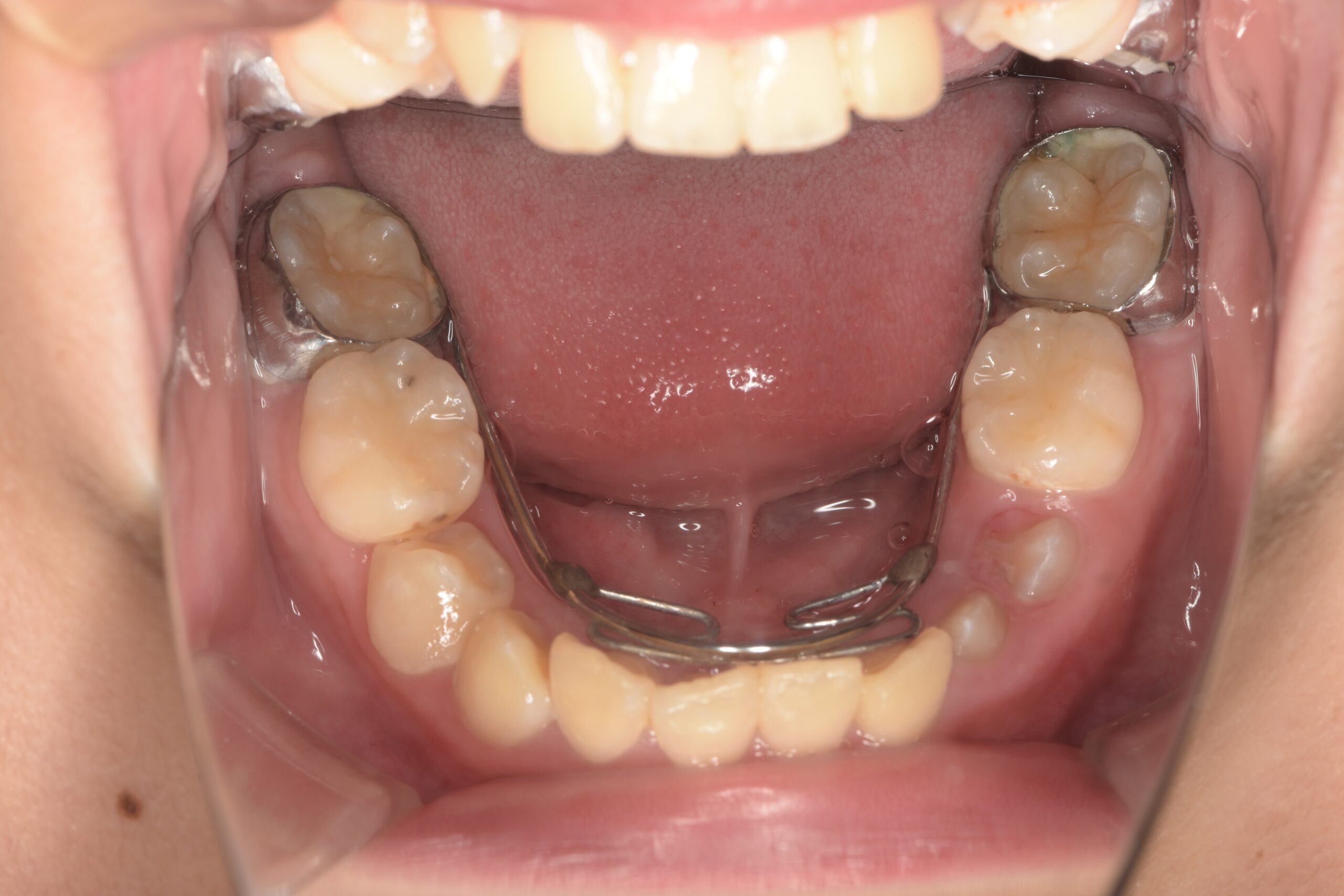
①E-Spaceの確保
E-space(イースペース)とは、乳歯の第二乳臼歯(E)が永久歯の第二小臼歯に生え替わるときに生じる余剰スペースのことです。
なぜスペースができるのか?
乳歯のE(第二乳臼歯)は、
後から生えてくる第二小臼歯より横幅が大きいためです。そのため生え替わると余ったスペース=E-spaceが生まれます。
平均値ですが
上顎 約1.5mm / 側
下顎 約2.5mm / 側
つまり
上顎:約3mm
下顎:約5mm
程度の歯列の余裕になります。
このスペースは矯正で非常に重要です。
理由は叢生を抜歯せずに改善できる可能性があるためです。この時期はこのスペースを有効活用することで、治療計画に幅が広がります。
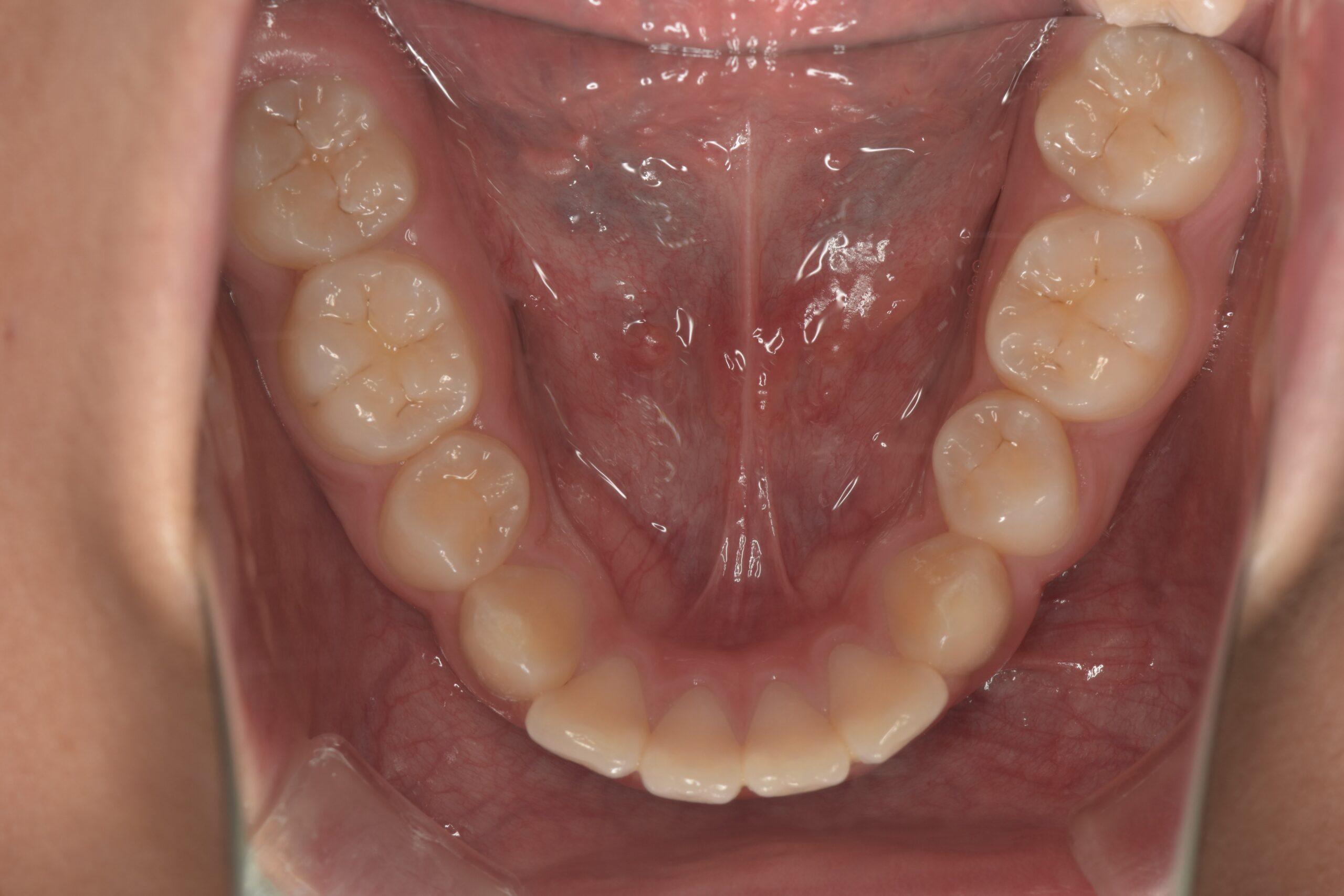
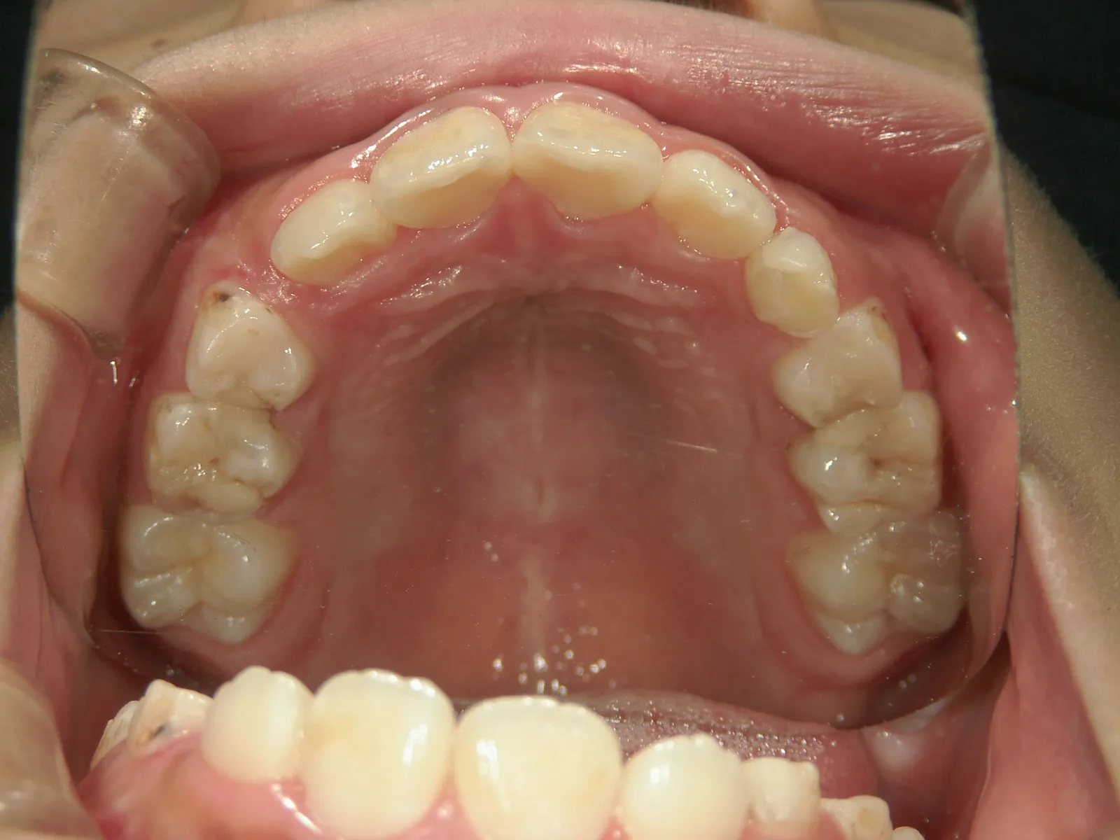
第一大臼歯が前に移動しないように装置で抑えます(上顎)

同じく装置で抑えます(下顎)

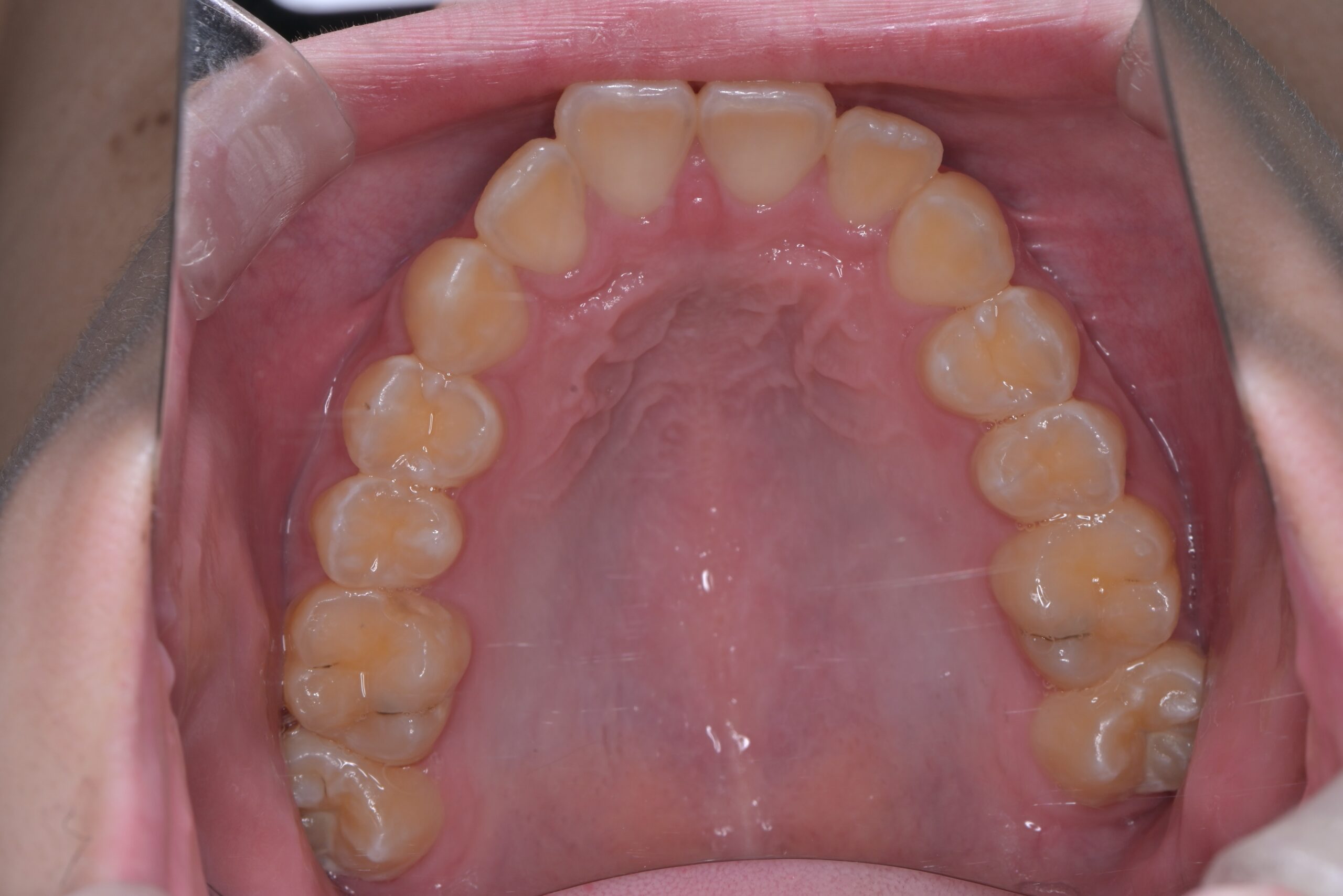
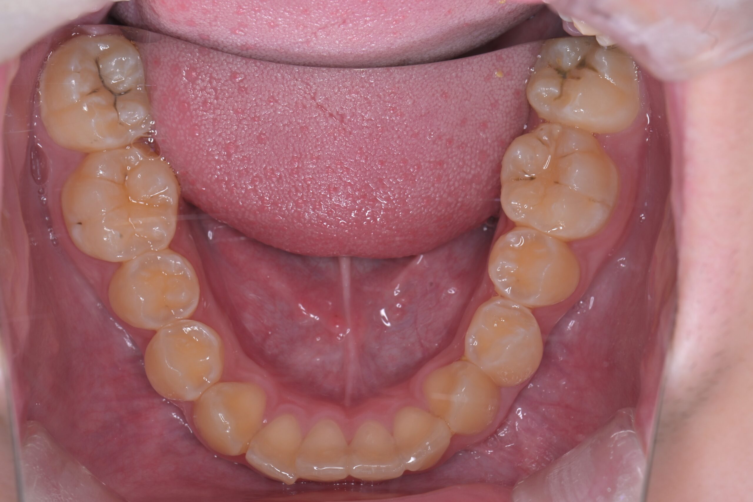
装置除去(上顎)

装置除去(下顎)

②上顎大臼歯の遠心移動
①と同様に歯列に対してスペースを確保する方法です。上顎後方のスペースがどれくらい残っているかによって移動量に制限があるため、①と比較すると個人差が大きく症例選択の必要があります。
③下顎前方誘導
上顎の成長はこの時期までにほぼ終了しますが、下顎はここから成長が進みます。この成長を利用することで上顎の出っ歯を治していきます。受け口の方には逆効果になりますので行うことはできません。
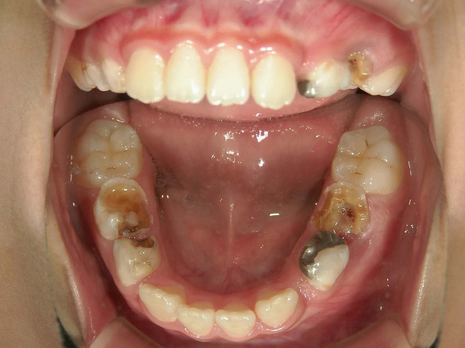
④連続抜歯
明らかに抜歯をしないと歯がちゃんと並ばないぐらい顎が小さいケースでは、乳歯のC,Dと永久歯の4番を抜歯してしまう方法です。この方法は奥歯の噛み合わせが良いケースに限られるため、適応ケースはあまり多くありません。
犬歯(3番目の歯)が生えてくるスペースがありません

連続抜去後


⑤悪習癖
悪習癖は成長期に歯並びを悪くしますので、引き続いて改善する必要があります。
3回に渡り、色々と説明してきましたが、時期によっては経過観察が良いケースもあります。
お子様の歯並びに少しでも不安がありましたら、ぜひ相談いただければと思います。



















