矯正の介入時期について②
こんにちは。院長の宮城です。
今回は前回に引き続き、矯正の治療介入時期についてです。
今回の治療時期は混合歯列期(前期)です。
この時期は、年齢で言うとおおよそ6歳〜9歳ぐらいまでとなります。
歯の状態で言うと、上下前歯が永久歯に生え変わり(合計8本)奥歯に6歳臼歯が生えている状態です。
この時期に改善していた方が良い点は
①前歯の叢生(ガタガタ)
②正中の偏位(顎のずれ)
③悪習癖
の3つプラス乳児期に改善していなければ、受け口です。
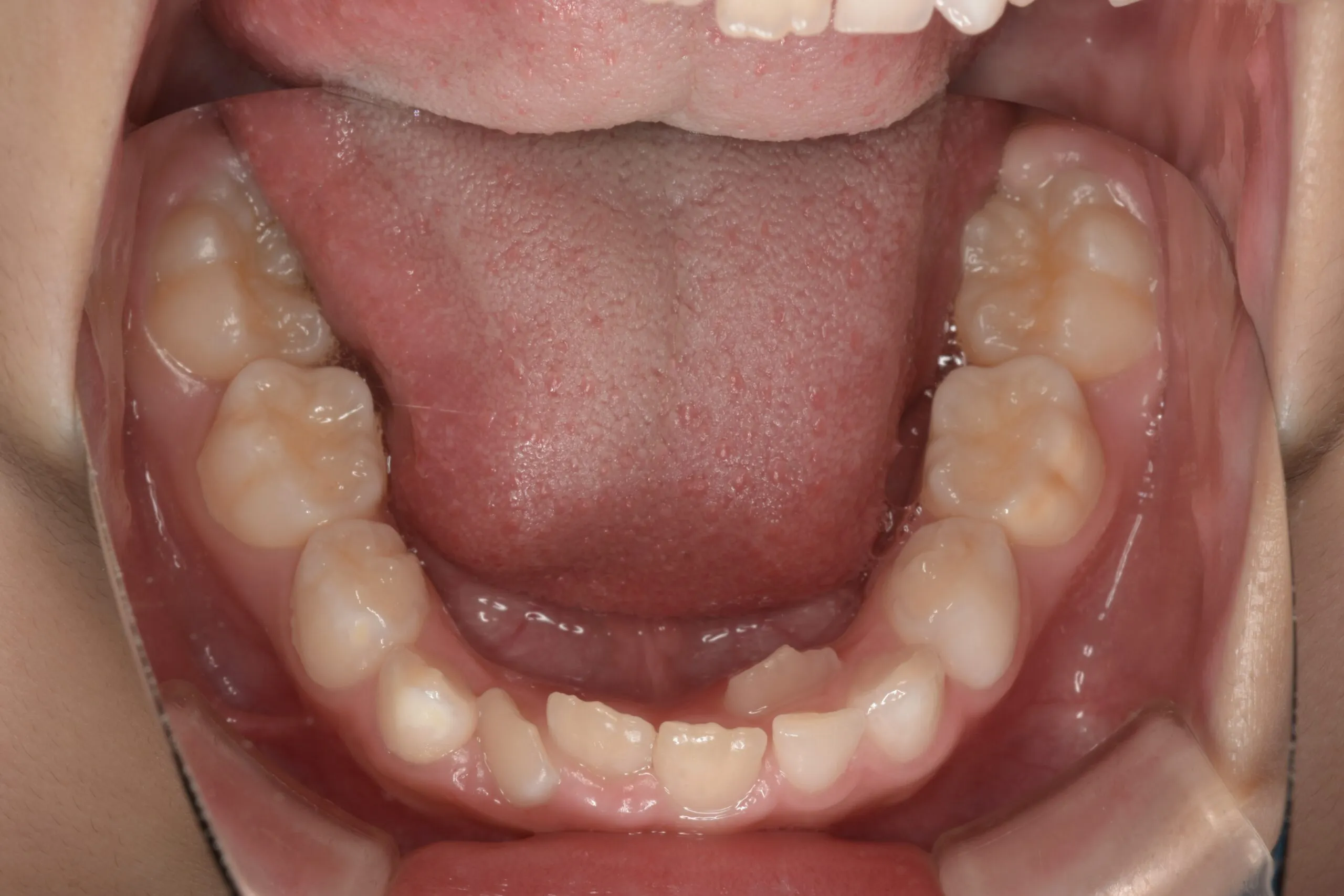
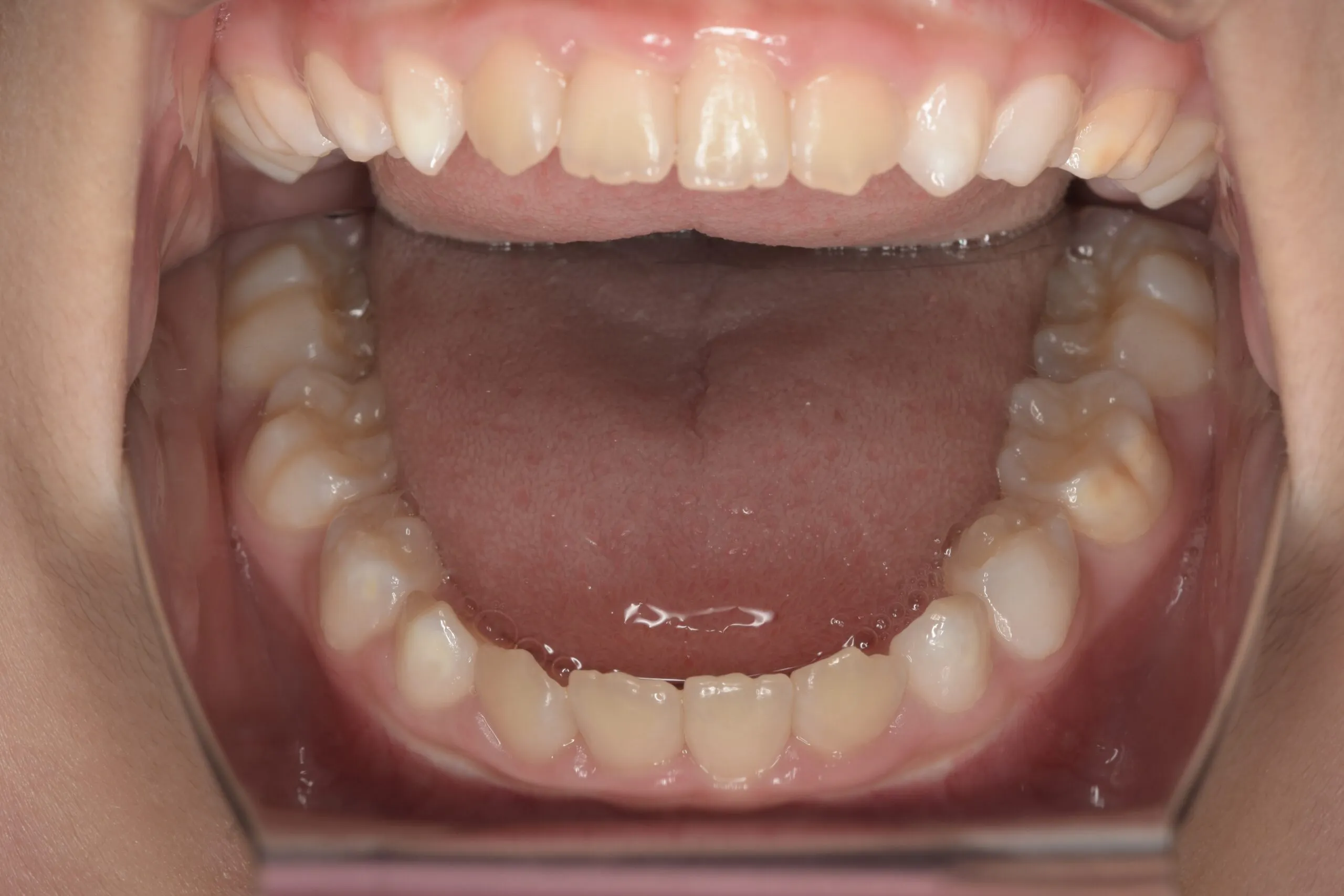
①前歯の叢生
前歯部に叢生がある場合、顎を広げて拡大します。そうするとスペースができるため、ガタガタな歯が並びやすくなります。ただし、下の歯の場合、拡大ができる時期が乳犬歯(前から3番目の歯)が生え変わる前までなので、上の歯に比べると時期的な制限があります。
例:7歳時 下顎前歯がガタガタな状態

9歳時 機能矯正装置を使用してスペースを確保

②正中の偏位
顎が左右どちらかにズレてしまっているため、放っておくと、左右の顎関節が非対称のまま成長してしまい、将来手術が必要になるケースもありますので、この時期に改善しておきましょう。
例:5歳時 正中(顎)が左にずれている状態

7歳時 拡大装置にて改善

③悪習癖
悪習癖(指しゃぶり、頬杖等)は歯を本来ある位置から動かしてしまいます。これはどの時期でも改善していた方が良いですが、意思疎通ができるようになる6歳ぐらいから行うのがおすすめです。あいうべ体操、MFT(口腔筋機能療法)等があります。当院ではMyobraceという装置を使用して改善を主に行います。
次回は混合歯列期(後期)について説明します。




















